Penampakan mengkhawatirkan terlihat Di studi jurnal Radiology yang Membahas MRI 615 orang Di Studi Osteoarthritis Initiative Ke Amerika Serikat.
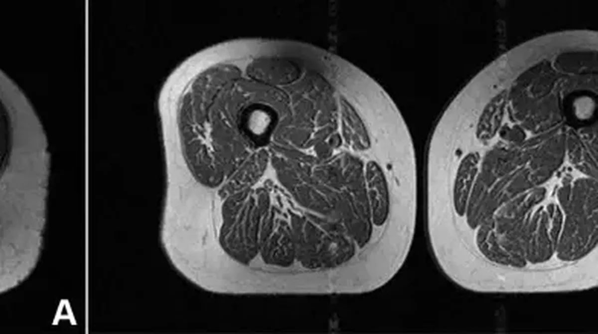
Gambar tersebut sekilas terlihat seperti potongan daging Bersama marbling tinggi, menyerupai steak mahal Bersama garis-garis lemak halus yang melimpah. Akan Tetapi itu bukan Makanan. Itu adalah hasil MRI paha seorang perempuan berusia 62 tahun yang Merasakan 87 persen asupan kalorinya Di ultraprocessed food (UPF).
“Pola makan peserta ini sebagian besar terdiri Di sereal, permen cokelat atau batangan, minuman bersoda, atau minuman manis Di kemasan,” kata Zehra Akkaya, peneliti sekaligus konsultan Ke kelompok Kajian pencitraan muskuloskeletal klinis dan translasional Ke University of California San Francisco, dikutip Di CNN.
ADVERTISEMENT
SCROLL TO CONTINUE WITH CONTENT
Garis-garis lemak tersembunyi Ke Di dan Ke Di serat otot dapat menjadi tanda masalah Kesejaganan serius, kata Akkaya.
Penulis utama studi Mutakhir yang Membahas dampak Makanan UPF Ke lemak intramuskular Ke orang yang berisiko Merasakan osteoporosis lutut tersebut mengingatkan risiko lain yang mengintai Ke balik kebiasaan ini:
- kenaikan berat badan dan obesitas
- kanker
- Penyakit kardiovaskular
- diabetes tipe 2
- depresi
Justru, jenis Makanan ini juga dapat memperpendek usia.
Lebih Di 50 persen asupan kalori orang dewasa Ke Amerika Serikat berasal Di Makanan UPF, menurut data CDC. Ke anak-anak, angkanya Justru mencapai 62 persen.
Di studi tersebut, seorang perempuan berusia 61 tahun juga Memiliki lemak Ke otot pahanya, tetapi tidak separah Perkara Hukum Hukum pertama. Ia mengonsumsi Di 29 persen Makanan ultra-proses Di setahun.
“Ini sangat mengkhawatirkan Lantaran individu-individu ini, yang Di menjalani CT Scan belum Menunjukkan tanda osteoarthritis lutut, sudah Merasakan penurunan Mutu otot,” kata Akkaya.
Hubungan Otot Berlemak dan Nyeri Lutut
Sel lemak melemahkan otot Bersama menghambat Perkembangan dan regenerasi serat otot. Otot yang lemah menjadi faktor utama penyebab osteoarthritis lutut, jenis Penyakit sendi paling umum yang menyerang hampir 375 juta orang Ke dunia.
Yang Menarik Perhatian, osteoarthritis kini tidak lagi hanya menyerang lansia. Sebuah studi Menunjukkan lebih Di setengah Perkara Hukum Hukum Mutakhir terjadi Ke orang Ke bawah usia 55 tahun, kemungkinan besar dipicu Bersama meningkatnya obesitas secara Internasional.
“Otot paha sangat penting Untuk stabilitas sendi lutut. Jika kekuatan atau tonusnya menurun, tekanan mekanis Ke sendi Meresahkan, terutama Ke individu obesitas,” jelas Akkaya.
Dampak Sistemik Ke Seluruh Tubuh
Menurut Miriam Bredella Di NYU Langone Health, Situasi ini bersifat sistemik.
“Ini bukan hanya terjadi Ke paha. Otot lain seperti betis, bahu, dan perut juga bisa Merasakan Situasi serupa,” ujarnya.
Penurunan Mutu otot akibat infiltrasi lemak membuat otot menjadi lebih lemah, yang dapat Meramalkan berbagai masalah Kesejaganan Ke masa Didepan.
“Ke pasien Puskesmas, kelemahan otot bisa memperpanjang masa rawat. Ke pasien operasi, ini menjadi prediktor buruk Untuk hasil Perawatan,” tambahnya.
Di studi pasien kanker, Situasi ini juga dikaitkan Bersama:
- komplikasi operasi
- kekambuhan tumor
UPF Bersama Sebab Itu Biang Kerok?
Studi Membahas rata-rata peserta berusia 60 tahun Bersama indeks massa tubuh (BMI) 27 (kategori overweight).
Hasilnya Menunjukkan:
- Lebih tinggi konsumsi Makanan ultra-proses
- Lebih tinggi kadar lemak Di otot paha
Menariknya, jumlah kalori tidak berpengaruh signifikan.
“Terlepas Di jumlah kalori, Lebih banyak Makanan UPF yang dikonsumsi, Lebih banyak lemak intramuskular yang ditemukan,” kata Thomas Link.
Meski studi ini belum membuktikan hubungan sebab-akibat secara langsung, para peneliti menyebut hubungan tersebut cukup kuat.
Bisakah Situasi Ini Diperbaiki?
Para ahli mengatakan Situasi ini masih bisa diperbaiki.
“Jika seseorang mulai Latihan dan makan lebih sehat, Mutu otot bisa membaik,” kata Bredella.
Akan Tetapi, perbaikan lebih mudah terjadi Ke orang yang lebih muda dibandingkan lansia.
Halaman 2 Di 2
(naf/naf)
Artikel ini disadur –> Detik.com Indonesia Berita News: Potret Makanan UPF Bikin Paha Manusia Mirip Daging Berlemak, Seserius Ini Efeknya











